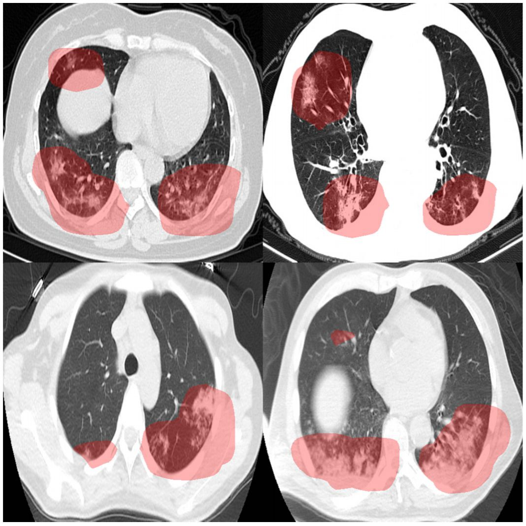
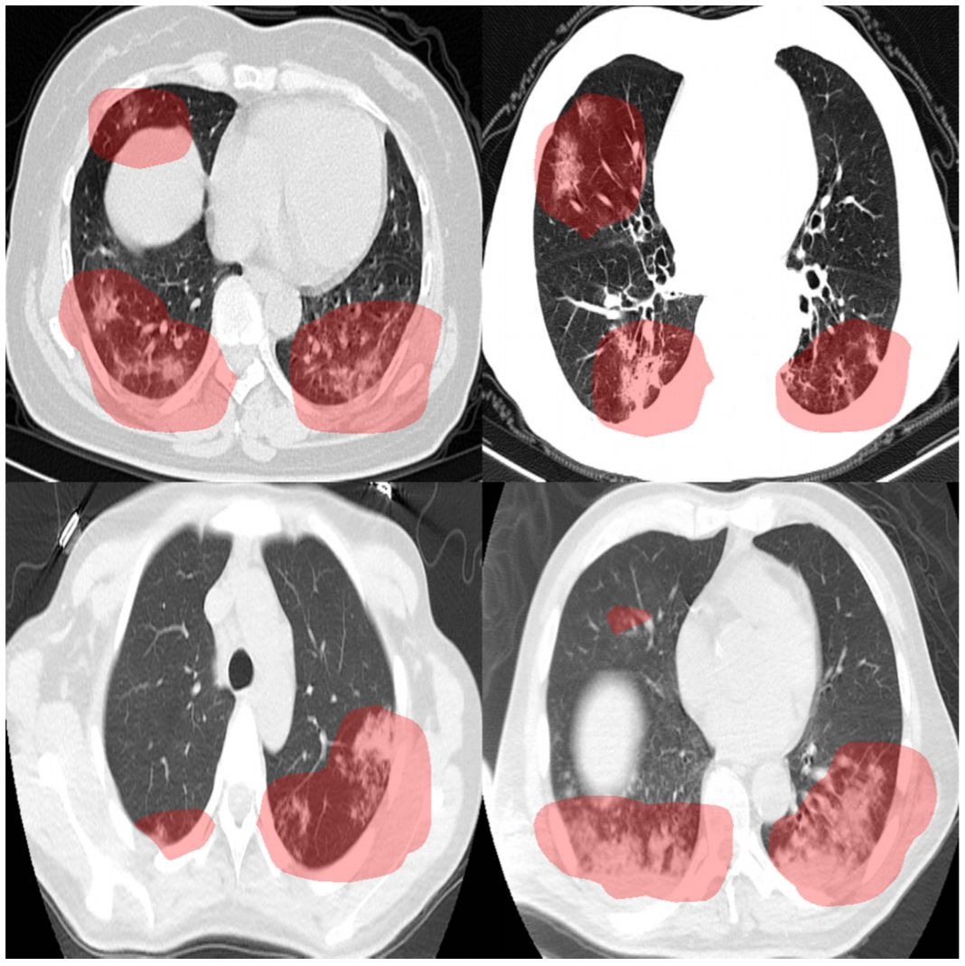
NVIDIA Inception의 회원사 다윈AI(DarwinAI)가 CT 스캔에서 코로나19를 감지할 목적으로 새롭게 개발한 AI 모델이 광범위하고 다양한 시나리오에서 진단 정확도 96%를 기록했습니다. COVID-Net CT-2라는 이름의 이 모델은 캐나다 워털루대학교(University of Waterloo)와 함께 수 개월에 걸쳐 다양하게 생성한 대규모 데이터세트를 이용해 구축되었으며 현재 깃허브(GitHub)에 공개되어 있습니다.
지난 해 다윈AI는 코로나19 감지를 위한 오픈소스 신경망 COVID-Net를 선보였습니다. 이번 COVID-Net CT-2는 보다 강력한 AI 모델을 구축하려는 이니셔티브의 일환으로 만들어졌는데요. 이를 위해 다국적 환자 케이스의 수와 다양성 측면에서 지금까지 발표된 연구 중 최대 규모에 해당하는 데이터세트로 훈련을 진행했습니다. 모델의 구성과 검증의 세부 내용이 담긴 연구 자료는 여기를 확인하세요.
다윈AI는 신경망 훈련에 NVIDIA RTX 6000, 추론 워크로드 실행에 NVIDIA Jetson Nano 내장형 AI 플랫폼을 사용했습니다.
셸던 페르난데스(Sheldon Fernandez) 다윈AI CEO는 “아주 풍부한 데이터를 기반으로 COVID-NET CT-2를 구축한 결과 전혀 새로운 수준의 진단 정확도를 달성했습니다. 광범위하고 다양한 시나리오 전반에서 코로나19 민감도와 양성예측치가 96%를 넘어섰죠”라고 설명합니다.
“원래 모델인 COVID-Net의 구축에는 다윈AI의 XAI 플랫폼이 중요한 역할을 담당했습니다. 이번에는 캐나다의 선임 방사선전문의 2인을 섭외해 COVID-Net CT-2의 의사 결정 방식을 검증했는데요. 기쁘게도 두 사람 모두 COVID-Net CT-2의 의사 결정 프로세스가 그들의 전문가적 해석과 일치한다고 확인해주었죠. 이는 각 영역 간 새로운 협력의 가능성을 의미할 뿐 아니라 투명성과 신뢰성을 확보한 AI의 구축에서 XAI 테크놀로지가 갖는 중요성을 보여주는 것이기도 합니다.”

NVIDIA와 다윈AI는 오픈소스 AI와 무상 사전훈련 모델로 코로나19 방역용 신경망 구축을 지원하고 있습니다. X레이와 CT에서 코로나19를 감지하는 의료 이미징 AI 모델은 NVIDIA COVID-19 NGC Catalog와 다윈AI의 COVID-Net 이니셔티브를 통해 액세스할 수 있습니다.
AI, 가속컴퓨팅, GPU 테크놀로지가 신종코로나바이러스 감염증 방역에 어떻게 기여하고 있는지 COVID-19 Research Hub에서 확인하세요.
